Orthodontic Treatment
No matter what your age, you don’t have to settle when it comes to your teeth. Whether you need braces to fix a misaligned bite or you want to feel more confident about smiling, braces can drastically increase your quality of life.
Braces Are for Everyone
Adults typically want quicker treatment times and cosmetic braces, while orthodontics for kids and teens is more efficient and low-impact than ever. Here’s how braces can help both kids and adults:
- Early Childhood. Did you know that children as young as seven or eight may be good candidates for braces? Orthodontic treatment at an early age prevents more serious, costly treatments later and can shorten the time braces are worn in the teen years. Phase I treatment is for children whose oral issues are already severe or whose conditions may worsen if not treated early.
- Pre-teens and teens. If early orthodontic treatment isn’t warranted, the ages between 11 and 16 are the perfect window to begin braces. Kids still have malleable jaws at this age, making treatment for bite or jaw misalignment easier. Once kids’ permanent teeth have finished erupting, they can begin phase II orthodontic treatment.
- Adults. Braces aren’t just for kids, of course. If you’re unhappy with a crooked smile, protruding teeth, or another issue, you may be eligible for a five- or six-month treatment with “invisible” braces.
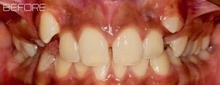
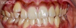
Problems Braces Can Fix
Everyone knows that braces can straighten crooked teeth or bring gapped teeth closer together. Here are a few more problems braces can fix:
- Protruding teeth that may become chipped
- Overcrowded teeth that could lead to crooked teeth or decay
- Malocclusions, such as crossbite, overbite, and underbite, that can contribute to digestive problems
- Misaligned jaws, which can lead to TMJ and worn teeth
- Difficulty with chewing or speaking
Types of Braces
The days of having only one choice for orthodontic care are over. Now, there are treatments to suit every age, lifestyle, and problem. Here’s a look at treatments for common problems:
- Metal braces are made of stainless steel and are often used for children and teens. Metal braces are much smaller than they used to be, and kids can choose different colours for the wires.
- Ceramic and cosmetic braces are often the choice of adults who don’t want the distraction of obvious orthodontic work. These “invisible” braces can be made of tooth-coloured ceramic or can even be placed behind the teeth to hide them entirely.
- Clear aligners are popular with both older teens and adults and are also “invisible.” The removable plastic trays allow you to eat without worry and keep your dental hygiene spotless.
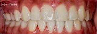
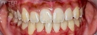
Braces Restore Confidence
There’s no denying the power of having confidence in your appearance. When you’re confident about your teeth, you’re more likely to smile, laugh, and speak with ease. Braces can boost the self-confidence of children and adults alike!
Call Our Office Today!
Find out if you’re a good candidate for braces by scheduling an appointment with our dental office. We’re happy to review the treatment options and help you get started with braces!
Frequently Asked Questions
When you think of reasons to get orthodontics, you may envision a set of shimmering, straight teeth. Cosmetic improvements are definitely one of the most common reasons to get orthodontics.
But did you know that certain oral conditions can lead to more serious issues, which require increasingly costly, invasive treatments? The benefits of orthodontics even reach as far as your overall health.
The following are just a few benefits of orthodontic treatment:
- Improved self-confidence. When you feel like you need to hide your smile, it can affect your relationships and how you feel about yourself. Not only that, but a healthy-looking smile can make a good impression at work and in any situation when you need to feel confident.
- Healthier gums. Gums of misaligned teeth may harbour more bacteria. Periodontal, or gum, disease is a health concern that can affect your heart, too, and even contribute to stroke and diabetes.
- Decreased risk of tooth damage. Teeth that protrude further than other teeth are more at risk for chips and fractures.
- Less wear on teeth. Teeth that protrude or rub against over teeth due to jaw misalignment are worn down relatively quickly, weakening the tooth structure.
- Easier dental hygiene. When your teeth are aligned properly, you can more easily remove food particles by flossing and brushing.
Meet Our Doctor:
Dr. Abbasali Hassanali
Dr. Abbasali Hassanali is a certified specialist in periodontology and implant surgery. He completed his undergraduate training in cell and molecular biology at the University of Toronto followed by his Doctor of Dental Surgery Degree at the very same institution. He subsequently completed his MSc and advanced specialty training in periodontics and implant surgery, also at the University of Toronto. His research focused on protein biochemistry, cell biology, and matrix dynamics has been published and presented at several international meetings.
Dr. Hassanali provides the full scope ...