Studioline Dental

Orthodontics

Related Services:

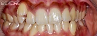
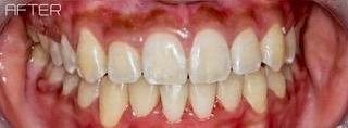
Orthodontic Treatment
Have Questions? Get in Touch
If you have difficulty using our website, please email us or call us at (905) 794-5700
View the ADA Accessibility Statement
Privacy Policy